
Diş kökü çevresinde oluşan kistler, çoğu zaman uzun süre fark edilmeyen ancak zamanla büyüyerek ağız sağlığını ve genel vücut sağlığını etkileyebilen problemlerdir. Bu durumla karşılaşan hastalar genellikle “Kist olan dişe kanal tedavisi yapılır mı?” sorusunu merak eder. Günümüzde gelişmiş endodonti yöntemleri sayesinde birçok kistli diş, çekilmeden kanal tedavisi ile kurtarılabilmektedir.
Kanal tedavisi uzmanı Dr. Sinan Akçiçek, diş kökü kaynaklı kistlerin önemli bir kısmının doğru tedavi planlaması ile başarılı şekilde tedavi edilebildiğini belirtmektedir.
Diş Kisti Nedir?
Diş kisti, genellikle diş kökünün ucunda oluşan ve içi sıvı veya yarı sıvı bir madde ile dolu patolojik oluşumlardır. Çoğu zaman diş pulpasının (sinir dokusunun) enfekte olması sonucunda meydana gelebildiği gibi farklı bir çok sebebi olabilmektedir.
Diş kistlerinin oluşmasının başlıca nedenleri şunlardır:
- Tedavi edilmemiş çürükler
- Diş sinirinin ölmesi (pulpa nekrozu)
- Travma sonucu dişin zarar görmesi
- Daha önce yapılmış ancak başarısız olmuş kanal tedavileri
- Uzun süre devam eden diş enfeksiyonları
- Gelişimsel faktörler
- Dişe sebepli olmayan kistler de olabilmektedir.
Kistler genellikle diş kökü ucunda oluşur ve zamanla çevredeki kemik dokusuna zarar verebilir. Önemli olan kistin sebebinin ne olduğunu anlamaktır. Dişten kaynaklı olmayan kistlerin iyileştirilmesi için kanal tedavisinden bir beklenti içine girilmemelidir. Ancak kist, büyüklüğü nedeniyle bazı dişlerin kökünü sarmış ise o zaman o dişlere kanal tedavisi yapılmalıdır. Çünkü kist operasyonu cerrahi olarak yapıldığında ilgili dişlerin kökleri de düzeltilmek zorundadır ve kanal tedavileri yoksa o dişlere sonradan kanal tedavisi yapmak zor olabilmektedir.
Kist Olan Dişe Kanal Tedavisi Yapılır mı?
Evet, birçok durumda kist bulunan dişe kanal tedavisi yapılabilir. Özellikle kistin nedeni diş kökü enfeksiyonu ise kanal tedavisi enfeksiyonun kaynağını ortadan kaldırarak kistin küçülmesini veya tamamen iyileşmesini sağlayabilir.
Kanal tedavisinin amacı:
- Enfekte diş sinirini temizlemek
- Kök kanallarını dezenfekte etmek
- Bakterilerin tekrar oluşmasını engellemek
- Kök ucundaki enfeksiyonun iyileşmesini sağlamaktır
Doğru şekilde yapılan bir kanal tedavisi sonrası vücut bağışıklık sistemi zamanla kist dokusunu iyileştirebilir.
Kistli Diş Nasıl Tedavi Edilir?
Kistli dişlerin tedavisi durumun büyüklüğüne ve enfeksiyonun yayılımına bağlı olarak planlanır. Kanal tedavi uzmanı Dr. Sinan Akçiçek tarafından uygulanan tedavi süreci genellikle şu aşamalardan oluşur:
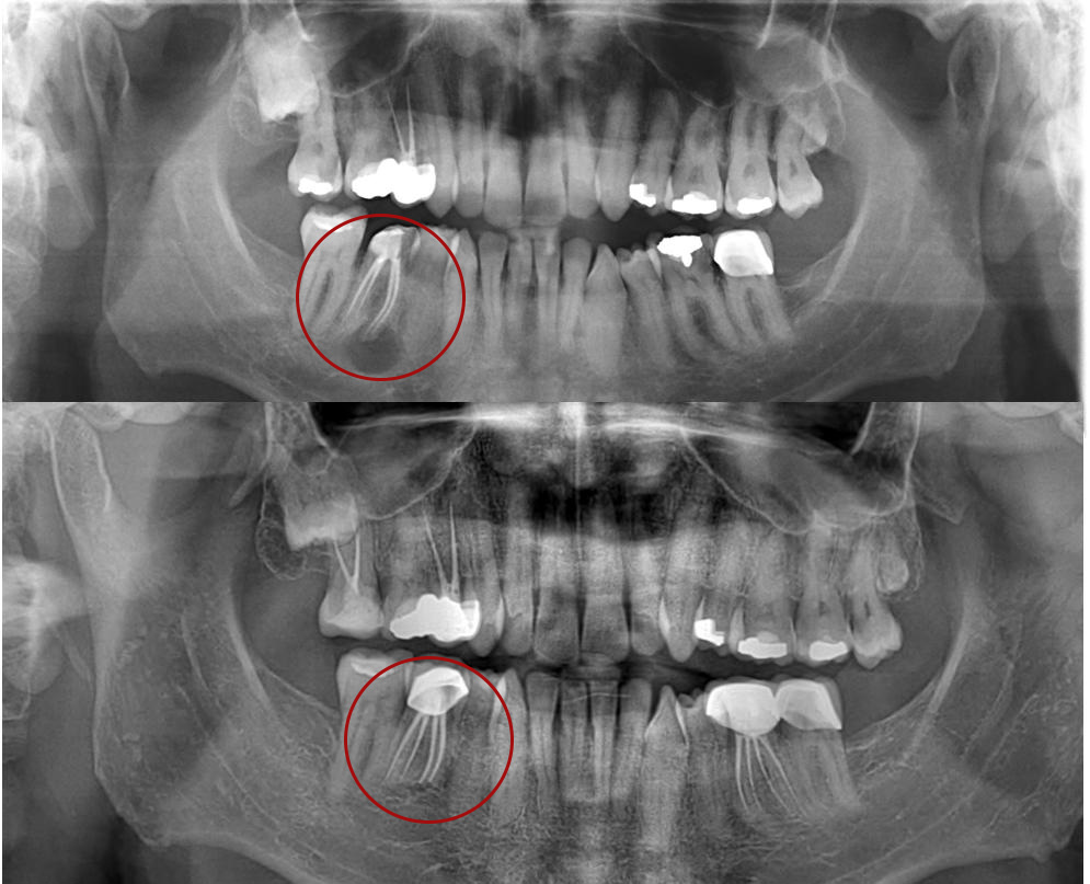
- Detaylı Muayene ve Röntgen
Öncelikle diş ve çevre dokular detaylı şekilde incelenir. Panoramik röntgen veya dental tomografi ile kistin boyutu ve konumu değerlendirilir.
- Kanal Tedavisinin Yapılması
Enfeksiyonun kaynağı olan diş siniri temizlenir. Kök kanalları özel aletler ve antiseptik solüsyonlar ile dezenfekte edilir.
- Kanalın Doldurulması
Temizlenen kök kanalları bakteri girişini engellemek için özel dolgu materyalleri ile doldurulur.
- İyileşme Sürecinin Takibi
Kanal tedavisinden sonra kist dokusu zamanla küçülebilir. Bu süreç birkaç ay ile bir yıl arasında değişebilir. Düzenli röntgen kontrolleri ile iyileşme takip edilir. Kanal tedavisi sonrası kist tamamen yok edilemese bile boyutu küçüleceğinden cerrahi olarak çıkartılması sırasında çevre dokular daha az zarar görmüş olacaktır.
Hangi Durumlarda Kanal Tedavisi Yeterli Olmayabilir?
Bazı durumlarda kist çok büyük olabilir veya uzun süre tedavi edilmeden kalmış olabilir. Bu gibi durumlarda yalnızca kanal tedavisi yeterli olmayabilir.
Bu durumlarda uygulanabilecek tedaviler:
- Kanal tedavisi + cerrahi müdahale (apikal rezeksiyon)
- Kistin cerrahi olarak çıkarılması
- Çok ileri vakalarda diş çekimi ve kistin cerrahi operasyonu
Günümüzde gelişmiş endodonti teknikleri sayesinde birçok diş çekilmeden kurtarılabilmektedir.

Kistli Diş Belirtileri Nelerdir?
Diş kistleri bazen uzun süre belirti vermeyebilir. Ancak bazı hastalarda aşağıdaki belirtiler görülebilir:
- Diş etinde şişlik
- Diş kökü çevresinde hassasiyet
- Çiğneme sırasında ağrı
- Diş etinde iltihaplı akıntı
- Ağızda kötü tat veya koku
- Yüzde hafif şişlik
- Dişlerde sallantı
Bu belirtiler fark edildiğinde vakit kaybetmeden bir diş hekimine başvurmak gerekir.
Kanal Tedavisi Kisti Tamamen Geçirir mi?
Kanal tedavisi, eğer diş kaynaklı bir kist ise kistin oluşmasına neden olan enfeksiyonu ortadan kaldırır. Enfeksiyon ortadan kalktığında vücut çoğu zaman kist dokusunu kendiliğinden iyileştirir. Özellikle küçük ve orta büyüklükteki kistler kanal tedavisinden sonra zamanla küçülerek tamamen kaybolabilir. Ancak büyük kistlerde cerrahi destek gerekebilir.
Kist Olan Diş Çekilmeli mi?
Kist görülen her dişin çekilmesi gerekmez. Günümüzde diş hekimliğinde temel amaç doğal dişi mümkün olduğunca korumaktır. Kanal tedavisi uzmanı Dr. Sinan Akçiçek, uygun vakalarda kistli dişlerin kanal tedavisi ile başarıyla tedavi edilebildiğini ve dişin ağızda korunabildiğini belirtmektedir. Diş çekimi genellikle son seçenek olarak değerlendirilir.
“Kist olan dişe kanal tedavisi yapılır mı?” sorusunun cevabı çoğu zaman evettir. Kistin nedeni diş kökü enfeksiyonu ise kanal tedavisi enfeksiyonun kaynağını ortadan kaldırarak iyileşme sağlayabilir. Erken teşhis edilen vakalarda diş çekilmeden tedavi edilebilir.
Diş kökü çevresinde kist şüphesi varsa mutlaka bir kanal tedavi uzmanı tarafından değerlendirme yapılması gerekir. Uygun tedavi planlaması sayesinde hem enfeksiyon kontrol altına alınabilir hem de doğal diş korunabilir.





